
ESPECIALIDADES
Una vida laboral con amplia experiencia y dedicación a las personas mediante tratamiento y cura de lesiones traumáticas y deportivas.
Hallux valgus (juanetes)
Hinchazón o prominencia en el lado de la articulación del dedo gordo, que se produce cuando el dedo gordo del pie se desvía demasiado hacia el segundo.
Metatarsalgia
La Metatarsalgia es el dolor en la zona anterior del pie (antepié), a menudo descrito coma caminar sobre piedras o como tener una piedra en el zapato
Pie plano de adulto
El pie plano del adulto es un problema frecuente, y en algunos casos es causa de dolor y consultarán en algún momento al médico especialista.
Lesiones deportivas
Ofrecemos un servicio de calidad para que el deportista, tanto profesional como aficionado, pueda volver a su actividad deportiva tan pronto como sea posible
Fascitis plantar
La fascia plantar es una aponeurosis o membrana que recubre la musculatura de la planta del pie desde su origen en el talón hacia los dedos.
Fracturas del quinto metatarsiano (fractura de Jones)
Las fracturas del quinto metatarsiano son lesiones típicas en el deporte, en muchos casos por sobrecarga o estrés.
Rupturas del tendón de Aquiles
Lesión grave que debe ser diagnosticada y tratada tan pronto como sea posible, ya que es un tendón imprescindible para la marcha y el salto.
Tendinopatías del Aquiles
Los problemas de tendinitis o tendinosis del Aquiles se localizan en dos zonas: En la mitad del tendón y en su inserción en el hueso del talón o calcáneo.
Lesiones osteocondrales
Las lesiones osteocondrales son las que afectan al cartílago y hueso de las articulaciones.
Fracturas de Astrágalo
Las fracturas de astrágalo son lesiones muy graves, que ocurren por caídas o accidentes de tráfico.
Fracturas de Calcáneo
Las fracturas de calcáneo (hueso del talón) son lesiones frecuentes por caídas de una altura o accidentes de tráfico.
Artroscopia y Endoscopia Tobillo
Técnica quirúrgica semi-invasiva que empleamos para el diagnóstico y tratamiento de inestabilidades de tobillo.
Lesiones de Lisfranc
Lesión de Lisfranc: dolor, inflamación, hematoma plantar, diagnóstico por imagen y frecuente necesidad de cirugía
Fracturas de Tobillo
Fractura de tobillo: lesión por torsión o golpe, gravedad variable, afecta tibia/peroné, requiere tratamiento cuidadoso reconstructivo
Hallux Valgus (juanetes)


El término juanete se refiere a una hinchazón o prominencia en el lado de la articulación del dedo gordo, que se produce cuando el dedo gordo del pie se desvía demasiado hacia el segundo. El término médico para este problema es hallux valgus.
No todos los hallux valgus son dolorosos y algunas personas pueden tener grandes juanetes sin experimentar dolor significativo. Sin embargo, cuando el dedo gordo del pie se desvía puede causar presión sobre el segundo dedo del pie, dando como resultado un segundo dedo del pie en martillo. En algunos casos, los dos primeros dedos de los pies se cruzan, por lo que es difícil caminar.
De acuerdo con estudios realizados, hasta el 30 por ciento de las personas desarrollarán juanetes en algún momento de sus vidas. Entre las causas más frecuentes por la que se desarrollan los juanetes están las genéticas y la mayoría de las personas con juanetes tiene antecedentes familiares de la enfermedad.
Si una persona es propensa a desarrollar un juanete, el calzado apretado es probable que cause que el dedo gordo del pie se deforme. Este es el motivo por el que esta patología es mucho más común en mujeres que en hombres. El tacón alto y/o los zapatos de puntera estrecha no son la causa principal del problema, pero el calzado puede acelerar la enfermedad.
Otras causas de juanetes incluyen lesiones, la artritis y el desequilibrio muscular.
Para el diagnóstico es necesario realizar una radiografía con el fin de determinar la extensión de la juanete y cualquier artritis asociada.
En algunos casos, zapatos cómodos y anchos pueden ser suficientes para aliviar el dolor, así como plantillas y ortesis. Pero es muy importante para el tratamiento tener en cuenta cualquier anomalía en la biomecánica. Este término se refiere la postura del pie y de la pierna durante el movimiento, por lo que en algunos casos es necesaria la corrección quirúrgica.
Existen diferentes técnicas para la corrección quirúrgica, y esta se debe adaptar a cada caso de forma individual.
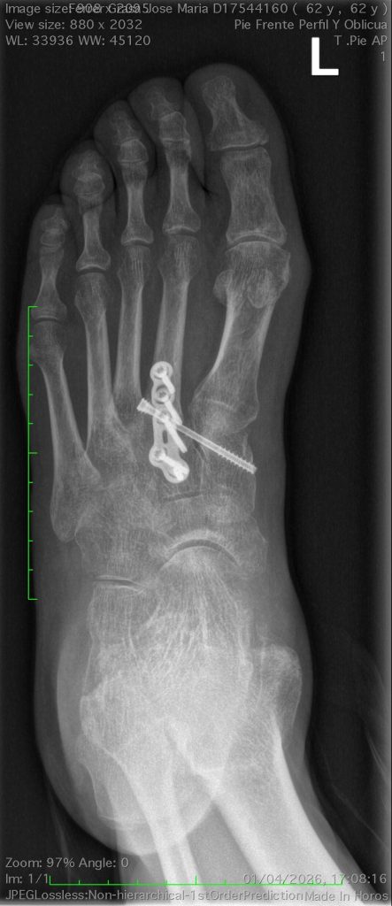
Metatarsalgia

La Metatarsalgia es el dolor en la zona anterior del pie (antepié), a menudo descrito coma caminar sobre piedras o como tener una piedra en el zapato.
Sin embargo, existe una variedad de posibles causas de metatarsalgia y en consecuencia el tipo de dolor también varía. Mientras que algunas personas describen el dolor localizado a uno o dos dedos de los pies, otros lo describen como generalizado o ardor. El dolor generalmente es al caminar o al estar en pie, y puede acompañarse de callosidades y deformidad de los dedos.
Existen múltiples causas de metatarsalgia, por lo que el cirujano debe realizar una cuidadosa evaluación para decidir un diagnóstico y tratamiento correctos.
Las causas más frecuentes son:
- Problemas mecánicos:
- Sobrepeso
- Hallux Valgus
- Hallux rigidus
- Sobrecarga deportiva
- Problemas inflamatorios:
- Artritis
- Gota
- Lesiones óseas:
- Fracturas de estrés
- Traumatismos
- Problemas neurológico: Neuroma de Morton
Encontrar el diagnóstico correcto y, por tanto, causa de la metatarsalgia es esencial para asesorar sobre el tratamiento correcto. A veces más de un diagnóstico está presente. Para ello es necesario una completa exploración y pueden ser necesarias otras exploraciones complementarias como radiografías, estudios de resonancia magnética (RM) o TAC.
Sólo cuando se ha hecho el diagnóstico se puede iniciar el tratamiento.
La mayoría de pacientes responden bien con un calzado adecuado, control del peso y plantillas. En los casos en que no hay mejoría se indica la cirugía.
Dado que existen múltiples causas de metatarsalgia, la indicación quirúrgica y la técnica debe ser individualizada. Entre las intervenciones que se le pueden proponer están las osteotomías (cortes en los huesos para modificar su forma o su orientación) y las artrodesis o fusiones articulares, necesarias en algunos casos, cuando las articulaciones están desgastadas (artrósicas), para estabilizar una articulación con movilidad anormal o para corregir una deformidad. Para fijar estas osteotomías y artrodesis puede ser necesario el uso de implantes, placas y tornillos.
En ocasiones también se debe intervenir sobre los tendones, que puede ser necesario cortar o alargar en el pie o en la pantorrilla.
El período de inmovilización después de la cirugía puede ser de hasta 8 semanas con un calzado ortopédico que en la mayoría de casos permite caminar, pero se tarda aproximadamente 6 meses para volver a la actividad normal.
Pie plano del adulto


El pie plano del adulto es un problema frecuente, y en algunos casos es causa de dolor y consultarán en algún momento al médico especialista. La persona con pie plano tiene una pérdida del arco interno del pie, con un talón que se desplaza hacia afuera (valgus) y la parte anterior del pie que puede rotar hacia fuera (abducción) cuando está en pie o caminando.
Entre las causas pueden existir factores hereditarios, de crecimiento o desarrollo (coaliciones tarsianas), degenerativas y secuelas de traumatismos.
La evolución natural de un pie plano pasará por distintas fases o estadíos.
En una primera fase el dolor generalmente es por sobrecarga tendinosa e inflamación. En una segunda fase va aumentando la deformidad aunque el pie todavía no es rígido o artrósico. En una tercera fase, además de la deformidad el pie se hace más doloroso, rígido y con cambios degenerativos o artrósicos en el retropié. En la fase final los cambios degenerativos afectarán al tobillo.
En las primeras fases puede ser suficiente el uso de unas plantillas y fisioterapia. En algunos casos podrá ser necesaria la cirugía según la fase o estadío del pie plano, corrigiendo la alineación del retropié (fase 2) mediante “Osteotomía de calcáneo” (corrección de hueso del talón que se asegura con unos tornillos) o fusiones de las articulaciones del pie (artrodesis) en casos avanzados (fases 3-4) para aliviar el dolor.
Lesiones deportivas

En nuestra consulta tenemos amplia experiencia en el tratamiento de lesiones deportivas, tanto en deportistas profesionales como aficionados, ofreciendo un servicio de calidad para que el deportista pueda volver a su actividad deportiva tan pronto como sea posible sin poner en peligro su recuperación. Le ofreceremos un enfoque completo y multidisciplinar, como cirujano ortopédico y en estrecha colaboración con los rehabilitadores, fisioterapeutas, técnicos ortopédicos y podólogos.
Fascitis plantar

La fascia plantar es una aponeurosis o membrana que recubre la musculatura de la planta del pie desde su origen en el talón hacia los dedos. La inflamación o engrosamiento de este tejido se denomina Fascitis plantar. La función de esta fascia es el mantenimiento del arco longitudinal del pie y la absorción del impacto actuando como amortiguador del pie.
El dolor se nota en la parte inferior del talón cuando el talón impacta en el suelo durante el paso. Puede ser intenso durante los primeros minutos de la mañana o después de estar parado durante un tiempo.
Este problema es muy frecuente en los deportistas por sobrecarga y entreno inadecuados, aunque existen variadas causas para su aparición, como variaciones anatómicas en los pies (hiperpronadores, pie plano o pie cavo), sobrepeso, tendón de Aquiles corto, calzado inadecuado, alteraciones biomecánicas de las extremidades que comportan un mal apoyo (dismetrias, alteraciones en el eje de las extremidades inferiores).
En ocasiones el tratamiento es difícil, debiendo estudiarse la causa que origina el problema para corregir las posibles alteraciones en el apoyo del pie.
Los ejercicios de estiramiento de la musculatura de la pantorrilla son imprescindibles durante un mínimo de tres meses realizados de forma adecuada. También pueden ser necesarias las modificaciones en el calzado o el uso de taloneras o plantillas.
La evaluación médica debe ser muy precisa para garantizar el tratamiento seleccionado será efectivo. El tratamiento quirúrgico puede precisar del alargamiento de la musculatura.
Fracturas del quinto metatarsiano(Fractura de Jones)


Las fracturas del quinto metatarsiano son lesiones muy típicas en el deporte. En muchos casos se trata de fracturas por sobrecarga o estrés.
Son lesiones que generalmente se tratan de manera conservadora con una inmovilización durante 6 semanas aproximadamente, aunque en caso de deportistas, personas con alta demanda funcional o re-fracturas se puede optar por tratamiento quirúrgico mediante osteosíntesis, generalmente un tornillo intramedular.
Rupturas del tendón de Aquiles

La ruptura del Tendón de Aquiles es una lesión grave que debe ser diagnosticada y tratada tan pronto como sea posible, ya que es un tendón imprescindible para la marcha y el salto.
Cuando el tendón se rompe el paciente nota un chasquido y que a menudo se escucha.
Clásicamente, la ruptura de la de Aquiles se produce por una contracción “violenta” y repentina del músculo de la pantorrilla, asociándose comúnmente con los deportes (tenis, padel, futbol, carrera), pero puede ocurrir como resultado de un tropiezo, caída o incluso un traspiés. En raras ocasiones, puede ocurrir espontáneamente.
En ocasiones el diagnóstico puede pasar desapercibido como un esguince. Sin embargo, un especialista experto en pie y tobillo hará un diagnóstico certero basado en los síntomas y la exploración. Para la confirmación diagnóstica se puede usar la Ecografía o la Resonancia Magnética.
Un tendón roto puede ser tratado conservadoramente con inmovilización y fisioterapia. Sin embargo el tratamiento no quirúrgico se asocia con una tasa de re-ruptura mucho más alto que la cirugía. En la actualidad las técnicas de reparación mini-invasivas que habitualmente usamos en nuestro equipo disminuyen los problemas de las cirugías amplias como la tasa de infección.
El período de inmovilización con una bota es de 6 a 8 semanas y se tarda aproximadamente seis meses para volver a la actividad normal.
Tendinopatías del Aquiles

Los problemas de tendinitis o tendinosis del Aquiles se localizan en dos zonas: en la mitad del tendón (tendinosis del cuerpo del Tendón de Aquiles) y en su inserción en el hueso del talón o calcáneo (tendinopatía insercional).
La tendinopatía insercional es común en corredores, aunque también puede verse en otras personal debido a cierta forma del hueso del talón o a problemas inflamatorios.
El dolor se localiza en la parte posterior del talón. A menudo las molestias son peores al iniciar la marcha por la mañana, mejorando tras caminar un poco, pero también pueden empeorar con el uso de algún calzado que provoca roce en la zona.
La Tendinosis del cuerpo del Aquiles se presenta como dolor y engrosamiento en la zona del tendón. También es frecuente en corredores y deportistas, aunque también puede aparecer en personas sedentarias o tras tratamientos con algunos antibióticos.
El diagnóstico se basa en la clínica que manifiesta el paciente y una exploración física que puede ser necesario completarla con exploraciones complementarias como ecografía o resonancia magnética.
En la mayoría de los casos el tratamiento debe ser prolongado, con medicación, cambios en el entrenamiento o deporte, modificaciones del calzado y fisioterapia durante 6 meses.
Lesiones osteocondrales

Las lesiones osteocondrales son las que afectan al cartílago y hueso de las articulaciones.
Son frecuentes y especialmente graves las que afectan al astrágalo ya que el cartílago no tiene capacidad por sí mismo de regeneración.
La causa generalmente suele ser un traumatismo aunque muchas veces no es importante, pudiendo desencadenarse por microtraumatismos repetidos (torceduras, esguinces, etc.).
El paciente suele referir dolor en el tobillo, a veces con inflamación y con sensación de fallo o poca estabilidad. Para el diagnóstico es imprescindible una minuciosa exploración, ya que en muchas ocasiones existen factores biomecánicos favorecedores de esta patología, como son alteraciones en el eje del pie o la pierna o inestabilidades por fallo de los ligamentos. El diagnóstico clínico deberá correlacionarse con exámenes radiológicos, de resonancia magnética y/o TAC para aconsejar y planificar el tratamiento más adecuado según cada caso.
Existen diversas técnicas para el tratamiento de la lesión osteocondral, desde la reparación mediante estimulación ósea por microperforaciones, a la aplicación de técnicas avanzadas de regeneración mediante cultivo de condrocitos o de sustitución mediante injerto osteocondral. La indicación de cada una debe ser individualizada según el paciente, la edad, el tamaño y profundidad de la lesión. En ocasiones deberá corregirse además la existencia de una alteración en el eje de apoyo del pie o la reparación ligamentaria.
En nuestra consulta le ofreceremos un enfoque completo, en el tratamiento de estas lesiones y en la indicación de las técnicas más precisas según cada caso.
Fracturas de Astrágalo

Las fracturas de astrágalo son lesiones muy graves, que ocurren por caídas o accidentes de tráfico. El astrágalo es un hueso del tobillo que forma parte del engranaje que une la pierna el retropié y el antepié, por lo que el tratamiento quirúrgico es generalmente necesario para conseguir una reducción anatómica y evitar deformidades y limitaciones importantes en la articulaciones que forman dicho engranaje. Para el diagnóstico se precisa de un estudio radiológico y un TAC en la mayoría de ocasiones.
En deportistas son más frecuentes las lesiones parcelares de este hueso, como las fracturas-arrancamiento de la apófisis externa y que pueden confundirse con esguinces graves de tobillo.
Se deberá intentar la reconstrucción anatómica y estabilización con tornillos e implantes.
A pesar de ello las complicaciones por la afectación de la circulación del hueso por el traumatismo pueden provocar alteraciones como la necrosis ósea y que en ocasiones puede conllevar a una fusión de las articulaciones (artrodesis).
Fracturas de Calcáneo

Las fracturas de calcáneo (hueso del talón) son lesiones frecuentes por caídas de una altura o accidentes de tráfico.
Cursa con gran inflamación y dolor que imposibilita el apoyo del pie y caminar.
La reconstrucción de estas fracturas es compleja y no exenta de complicaciones, por lo que es recomendable sean tratadas por cirujanos expertos. En nuestra Unidad tenemos amplia experiencia en el tratamiento de estas lesiones, tanto en la reconstrucción de las lesiones agudas como en la de las secuelas
Las radiografías y sobretodo el TAC ayudan a clarificar el tipo de fractura, el desplazamiento de los fragmentos óseos y el tratamiento a seguir.
El tratamiento intentará restablecer la anatomía, siendo para ello necesaria la intervención quirúrgica y la reconstrucción con placas específicas y tornillos.
Artroscopia y Endoscopia de Tobillo

Técnica quirúrgica semi-invasiva que empleamos para el diagnóstico y tratamiento de inestabilidades de tobillo, lesiones osteocondrales, soporte en fracturas, tendinopatías y otros procedimientos quirúrgicos.
Lesiones de Lisfranc


La lesión de Lisfranc es una lesión grave que afecta a los huesos y/o ligamentos cuneometatarsianos, variando desde esguinces leves hasta fracturas-luxaciones complejas, a menudo causadas por torsiones forzadas. Algunas de ellas son las llamadas lesiones sutiles de Lisfranc, que pueden pasar desapercibidas. Produce dolor, inflamación, incapacidad para apoyar el pie y, característicamente, un hematoma en la planta del pie. Para el diagnóstico, debe sospecharse con la exploración y requiere confirmación mediante pruebas de imagen (radiografía, a veces TC). A menudo requiere cirugía para estabilizar la articulación.
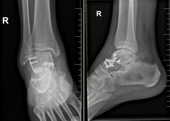
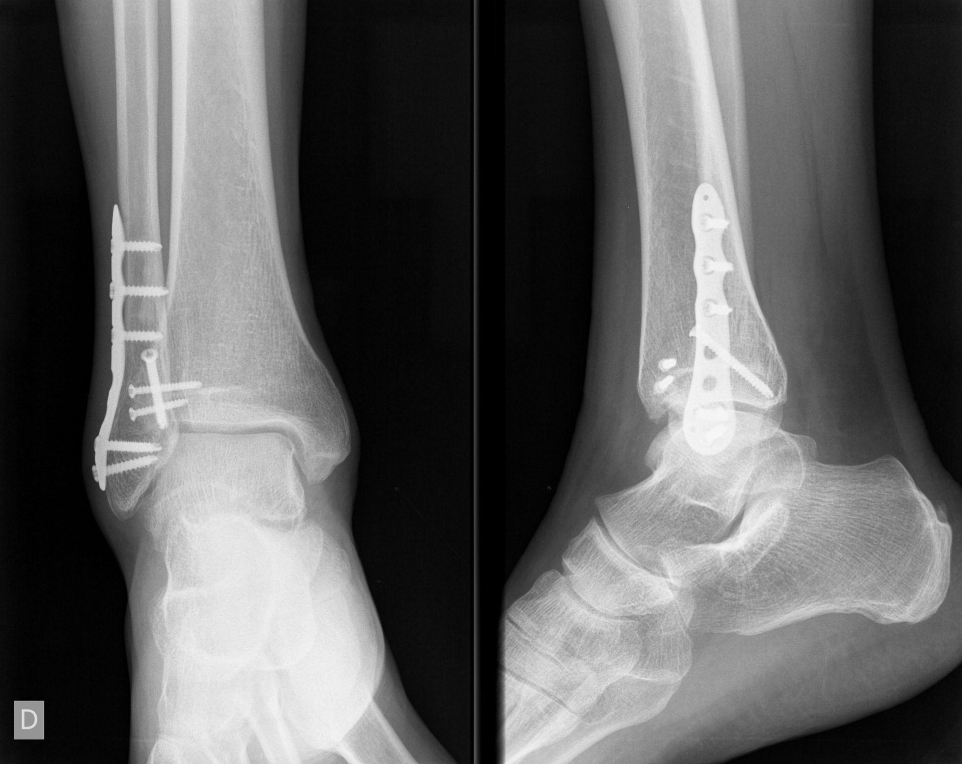
Fracturas de Tobillo

Una fractura de tobillo suele ser el resultado de una lesión por torsión, pero también puede ser causada por un golpe directo en el tobillo.
La gravedad de una fractura de tobillo varía. Las fracturas pueden abarcar desde pequeñas fisuras en los huesos hasta fracturas con varios fragmentos o con herida abierta exponiendo el hueso al exterior.
Son fracturas articulares, afectando a la tibia y/o al peroné y el tratamiento depende de los huesos afectados, localización del nivel de fractura y afectación de ligamentos.
Son lesiones graves, pues condicionan la movilidad del tobillo, por lo que su tratamiento debe ser cuidadoso en la reconstruccion de la articulación.
